电话:400-0066-650     品牌合作邮箱:media@baoxiulan.com
2岁宝宝不能生育竟然是因为这个导致的,家长们千万不要大意!
2024-12-05
4586
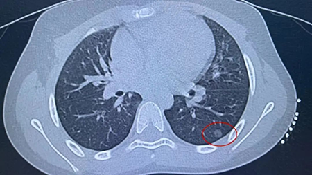
【精选文章】4岁孩子因咳嗽查出肺结节!呼吸道疾病肆虐,家长需警惕!
2024-11-29
2166
消炎药≠抗生素,一招教你如何区分
2024-11-20
3305
“医”路有爱,守护花开——宝秀兰医疗携手漯河市第二人民医院、漯河市儿童医院 开展大型儿童健康义诊活动
2024-11-15
2688
厨房里的隐形“杀手”:你家抹布干净吗?
2024-11-12
2435
这13款儿童口罩被爆不达标,会增加感染风险!快看看你家有没有
2024-11-08
3161
联系我们